Vollkeramik

Vollkeramik wird den höchsten Ansprüchen an ästhetischen Zahnersatz gerecht. Deshalb findet diese Technik häufig im Frontzahnbereich Anwendung.

Bei der Vollkeramik wird das dunkle Metallgerüst der Metallkeramikkrone durch ein zahnfarbenes Zirkongerüst ersetzt oder bei der Presskeramik ganz weggelassen. In manchen Fällen ermöglicht Presskeramik, die in weiteren Brennzyklen individualisiert wird, eine höhere Transparenz für verbesserte ästhetische Ergebnisse.

Während die Presskeramik deutlich schwächere mechanische Eigenschaften aufweist (erhöhte Bruchgefahr, daher eingeschränkte Anwendung im Seitenzahnbereich), ist die Zirkonkrone fast genauso stabil wie die Metallkeramikkrone.

Beispiel aus der Praxis:

Geschädigter Zahn nach einem Unfall

Der Frontzahn nach der Präparation. Durch eine sorgfältige Abdrucktechnik wird der Zahn exakt abgeformt.

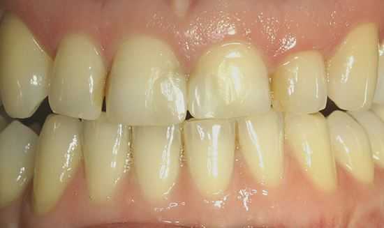
Die Vollkeramikkrone nach erfolgreicher Behandlung.

Kronen aus Vollkeramik im Frontzahnbereich

Ausgangssituation.

Behandlungsergebnis.

Vollkeramikkronen mittels Emax-Technik

Durch Parodontose geschädigte Zähne werden mit Vollkeramikkronen versorgt.

Behandlungsergebnis.

Teilkeramikkronen mittels Emax-Technik

Ästhetisch unbefriedigender Zahnsubstanzverlust.

Abradierte Innenseite der Oberkieferzähne.

Behandlungsergebnis.

Behandlungsergebnis

© Dr. Peter Galler

"Zahnersatz aus Vollkeramik, der höchsten ästhetischen Ansprüchen gerecht wird, gehört zu unseren Spezialgebieten. Dabei wird unsere Arbeit durch moderne und innovative Technik unterstützt. Unser Zahntechniker realisiert im digitalen Inhouse-Zahnlabor die Arbeiten mit viel Expertise, hohem qualitativen Verständnis und Liebe zum Detail."

Ästhetik und Funktion im Einklang

"Für jeden Patienten wird je nach Befund und Diagnose ein Behandlungsplan entwickelt, der präzise die Funktion und Ästhetik der Zähne in Einklang bringt. Dabei werden unter Berücksichtigung der individuellen Wünsche verschiedene Behandlungsalternativen mit Vor- und Nachteilen erläutert, so dass Sie sich für Ihre bevorzugte Lösung entscheiden können."

Kurz-Check*:

Anwendung: große Defekte
Aufwand: hoch
Ästhetik: sehr gut
Haltbarkeit: 20 Jahre
Labor: ja

* Vgl. Hinweise zur Haltbarkeit

Diese Website benutzt Cookies, um Ihnen das beste Ergebnis zu ermöglichen. Weiterführende Informationen erhalten Sie in unserer Datenschutzerklärung.